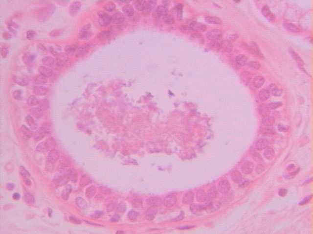
乳腺管腔
(內含分泌物)
複層立方上皮
結締組織

切片位置:乳腺管
切片倍率:400x
染色方式:h&e stain

 

高倍下(400x)之乳腺管,其管壁上皮為複層立方上皮所構成,而於上皮細胞外為一層平滑肌細胞所包圍。當平滑肌受神經刺激收縮時,將管腔中儲存之乳腺分泌物擠出,可提供乳汁分泌時之動力。